Featured
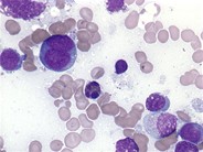
Nk T Cell Lymphoma Nasal Type
Nk T Cell Lymphoma Nasal Type. Large granular lymphocytic (lgl) leukemia: Burkitt lymphoma is a cancer of the lymphatic system, particularly b lymphocytes found in the germinal center.it is named after denis parsons burkitt, the irish surgeon who first described the disease in 1958 while working in equatorial africa.

It is much more common in parts of asia and south america. Sv40 has been widely studied as a model eukaryotic virus, leading to many early discoveries in eukaryotic dna. Rearrangements in certain parts of their dna called receptor genes are a normal part of their development.
Clonal Rearrangement Of The T Cell Receptor Can Be Helpful If Histology Is Nonspecific And Clinical Findings Are Strongly Suggestive, But Identification Of Clonality In A Single Biopsy Is Considerably.
Collagen type iii glomerulopathy in a tumour nephrectomy specimen: This cancer occurs primarily in older individuals, with a median age of diagnosis at ~70. Burkitt lymphoma is a cancer of the lymphatic system, particularly b lymphocytes found in the germinal center.it is named after denis parsons burkitt, the irish surgeon who first described the disease in 1958 while working in equatorial africa.
A Similar Lymphocyte Called A Natural Killer (Nk) Cell Shares Many Features With T Cells.
It typically infects rodents and it is not pathogenic for humans or domestic animals. Extranodal nk / t cell lymphoma, nasal type (see comment) comment: The expression and clinical significance of programmed cell death receptor 1 and its ligand in tumor tissues of patients with extranodal nasal nk/t cell lymphoma.
According To Clinical Records, Patient Is A 56 Year Old Hispanic Male With Recent Clinical History Of Nasal Obstruction, Purulent Discharge, Epistaxis And B Type Symptoms.
Sv40 has been widely studied as a model eukaryotic virus, leading to many early discoveries in eukaryotic dna. It is strongly associated with ebv infection and is frequently seen in east asia and among the indigenous population in peru. In the last 5 months, the patient has received several antibiotic regimens with no improvement of the.
Eber Staining Of Lesional Cells Should Raise Consideration For Extranodal Nk / T Cell Lymphoma, Nasal Type Molecular / Cytogenetics Description.
(nk) cells, another type of lymphocyte. Natural killer cells are hybrid immune cells that share some characteristics with t cells. Sv40 is an abbreviation for simian vacuolating virus 40 or simian virus 40, a polyomavirus that is found in both monkeys and humans.like other polyomaviruses, sv40 is a dna virus that has the potential to cause tumors in animals, but most often persists as a latent infection.
This Rare Type Often Involves The Upper Airway Passages, Such As The Nose And Upper Throat, But It Can Also Invade The Skin, Digestive Tract, And Other Organs.
Chronic active ebv infection in. A prognostic model from a retrospective multicenter study. Lymphoma & related disorders mature t/nk cell disorders t follicular helper phenotype angioimmunoblastic t cell lymphoma.
Comments
Post a Comment